خوردن تنقلات و برخی خوراکیها علیرغم داشتن ویتامین و خواص منحصر بفرد خود، میتوانند آسیبهایی برای شما در پی داشته باش…
یک متخصص کودکان میگوید که کودک از بدو تولد تا پایان ۲ سالگی باید شیر بخورد.
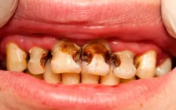
عضو هیأت علمی دانشکده دندانپزشکی مشهد، با بیان اینکه عدم رعایت بهداشت دهان و حضور پلاک میکروبی عامل اصلی پوسیدگی دندان…
بهترین راه پیشگیری از مشکلات دندانی رعایت بهداشت دهانی روزانه بهطور منظم، اتخاذ رژیم غذایی غیرپوسیدگیزا و معاینات…
خمیر دندان یکی از اجزای حیاتی روزانه مراقبت از دهان و دندان است که باید بدانیم چطور آن را انتخاب کنیم.
عضو هیأت علمی دانشکده دندانپزشکی مشهد، با بیان اینکه عدم رعایت بهداشت دهان و حضور پلاک میکروبی عامل اصلی پوسیدگی دندان…
عضو هیأت علمی دانشکده دندانپزشکی مشهد با اشاره به علل مختلف بروز دندان درد گفت: پوسیدگی دندان در مراحل پیشرفته، التهاب…
تنها جرمگیری یا استفاده از خمیر دندانهای جرمگیر کافی نیست، چراکه پس از مدتی دندانها جرم میگیرند و شما نمیتوانید…
شیرینیها و نوشیدنیهای گازدار در صدر فهرست خوراکیهای مضر برای دندان قرار دارند.
پوسیدگی مکرر دندان میتواند ناشی از اشتباهات ساده در مراقبت از دهان و دندان باشد، اما با رعایت توصیههای تخصصی میتوان…